Temporary Filling After Root Canal: How Long It Lasts and What to Do If It Comes Loose
After a root canal, the tooth must be sealed to keep saliva and bacteria out while the tooth transitions to the final restoration. In most cases, the seal placed by the endodontist is a temporary filling after root canal treatment, designed specifically for short-term protection. Patients often search “temporary filling after root canal,” “how long does a temporary filling last after root canal,” or “temporary filling came out after root canal” because the tooth can feel different and the restoration is not intended to be permanent.
Start here: For the complete overview, see What Is a Root Canal Treatment? (Root Canal Treatment Guide).
At Biocrede Endodontics, our priority is to deliver a well-sealed, well-cleaned root canal with modern protocols and careful technique. Even with excellent endodontic care, temporary materials can wear, chip, or partially dislodge because they are engineered to be removable by your restoring dentist. This page explains what a temporary filling is, how long it typically lasts, what to do if it feels loose, and when to call us.
Key Takeaways
- A temporary filling after root canal is a short-term seal, not the final restoration.
- Most temporary fillings are intended to last days to a few weeks, depending on the material and biting forces.
- If your temporary filling is loose or falls out, avoid chewing on that tooth and contact your dental office promptly.
- Mild sensitivity can be normal; swelling, a “pimple” on the gum, or worsening pain is not.
- The long-term success of root canal therapy depends heavily on timely final restoration (permanent filling/onlay/crown as indicated).
Table of Contents
- Summary
- What Is a Temporary Filling After Root Canal?
- How Long Does a Temporary Filling Last After Root Canal?
- Why a Temporary Filling Can Feel Loose or Wear Down
- What to Do If Your Temporary Filling Comes Loose After Root Canal
- What to Avoid While You Have a Temporary Filling
- Normal vs Concerning Symptoms After a Temporary Filling Comes Loose
- Does a Loose Temporary Filling Mean the Root Canal Failed?
- When Should You Call an Endodontist vs Your General Dentist?
- Frequently Asked Questions
- Conclusion
Summary
A temporary filling after root canal treatment is placed to seal the access opening until your general dentist completes the definitive restoration. Because it is designed for short-term use and later removal, it may wear down, feel rough, or come loose—especially if chewing forces are high or the appointment for final restoration is delayed. If the temporary filling comes loose or falls out, rinse gently, avoid chewing on that side, and contact your dentist or endodontist quickly for guidance. Prompt resealing helps reduce contamination risk and protects the tooth until final restoration.
If you want clarity on what “nerve removal” means in dentistry, read Understanding the Process of Dental Nerve Removal.
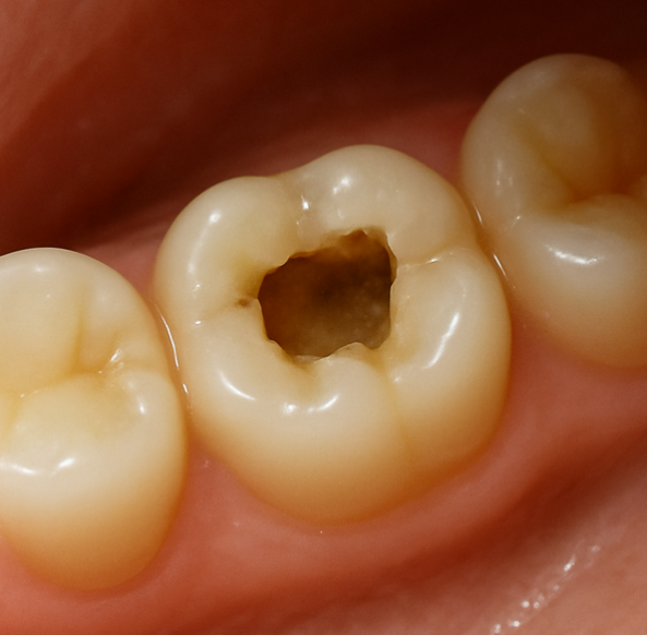
What Is a Temporary Filling After Root Canal?
A root canal requires an access opening through the top of the tooth so the canals can be disinfected and sealed. After the canals are filled, the access opening must be closed. Patients may describe it as a “temporary filling,” “temporary cap,” or “temporary seal.” Regardless of wording, the key point is that it is not intended to last long term. Often, the closure is a temporary filling after root canal therapy, placed to:
- Provide a seal against saliva and bacteria
- Reduce post-op sensitivity from temperature and air
- Allow time for the final restoration planning (permanent filling, onlay, or crown)
- Permit straightforward removal by the restoring dentist without unnecessary tooth reduction
How Long Does a Temporary Filling Last After Root Canal?
Patients commonly ask: “How long does a temporary filling last after root canal?”. Further, if you are searching “temporary filling after root canal how long” or “how long can a temporary filling last,” the clinically responsible answer is: it is a short-term solution, and delays increase risk. In practical terms:
- Many temporary fillings are intended to function for a short window (often days to a few weeks).
- The actual duration depends on the material used, the size of the access opening, whether the tooth is a molar (higher bite forces), and habits such as grinding/clenching.
- The safest approach is to proceed to the final restoration as soon as your restoring dentist advises.
Why a Temporary Filling Can Feel Loose or Wear Down
It is common for patients to notice the temporary filling feels different. If you are noticing “temporary filling loose after root canal” or “temporary filling coming out,” it does not automatically mean the root canal failed. It more often means the short-term seal needs attention. Reasons include:
- Normal wear from chewing, especially on molars
- The temporary material is engineered to be removable and may not bond like a permanent restoration
- A large access opening can create more edge exposure
- Grinding or clenching increases mechanical stress
- Sticky or hard foods can pull or fracture the material
- Time and moisture can degrade temporary materials
What to Do If Your Temporary Filling Comes Loose After Root Canal
If you believe your temporary filling came loose after root canal treatment, take the following steps:
Stop chewing on that side
Avoid biting pressure on the tooth. Chewing can fracture the remaining temporary material and increase sensitivity.
Keep the area clean (gently)
Brush carefully and floss gently. Rinse with plain water after meals. Avoid aggressive probing with toothpicks.
Avoid “DIY packing” with random materials
Do not pack the hole with cotton, paper, or household materials. These can trap bacteria and complicate treatment.
Consider a pharmacy temporary dental repair material only if needed
If you cannot be seen quickly and the opening is clearly exposed, an OTC temporary dental repair material can sometimes reduce sensitivity short term. Use it strictly as a brief bridge to professional care, and follow package directions. If you can be seen promptly, it is often better to leave the area alone and have it resealed professionally.
Call your dental office promptly
If the temporary filling is partially missing, fully out, or the tooth feels open, contact your general dentist or our endodontic office. Timely resealing is the goal.
This guidance addresses the most common searches: “temporary filling came out after root canal”, “temporary filling fell out after root canal”, “temporary filling loose after root canal”, “temporary filling coming out after root canal”, “what to do if temporary filling falls out after root canal”.
What to Avoid While You Have a Temporary Filling
To reduce the chance your temporary filling falls out:
- Avoid hard foods (ice, nuts, hard candy)
- Avoid sticky foods (taffy, gum, caramel) that can lift the material
- Avoid chewing directly on that tooth when possible
- If you grind/clench, use a nightguard if prescribed
- Keep the final restoration appointment as soon as feasible
Normal vs Concerning Symptoms After a Temporary Filling Comes Loose
Some symptoms can be normal after a root canal and temporary filling, but others warrant urgent evaluation.
Often normal (monitor, but contact us if worsening)
- Mild tenderness when biting for a few days
- Mild temperature sensitivity if the tooth is not fully restored yet
- Minor roughness at the temporary filling surface
If you are trying to find answers for “signs of infection after root canal temporary filling fell out,” focus on swelling, drainage, progressive pain, or systemic symptoms:
This is CONCERNING (call promptly)
- Increasing pain over time (not improving)
- Swelling of the gum or face
- A gum “pimple”/draining bump (possible infection pathway)
- Bad taste or drainage
- Fever or feeling unwell
- The tooth cracks, breaks, or becomes significantly painful to bite on
Does a Loose Temporary Filling Mean the Root Canal Failed?
Not necessarily. Most of the time, a loose temporary filling reflects mechanical wear or dislodgement of a short-term material. However, an open pathway into the tooth can allow saliva and bacteria to contaminate the access opening. That is why prompt resealing and timely final restoration matter. The success of endodontic therapy depends on:
- Proper cleaning/disinfection and sealing of the canal system
- A durable coronal seal (temporary first, then final restoration)
- Tooth structure integrity (cracks/fractures can change prognosis)
When Should You Call an Endodontist vs Your General Dentist?
For the step-by-step overview of the root canal procedure and sealing process, see What Is a Root Canal Treatment?
In many cases, your general dentist can reseal a temporary filling and proceed to the definitive restoration. If you are unsure, call and we will guide you to the right next step. You should consider contacting an endodontist (or returning to our office) when:
- You have significant pain, swelling, or drainage
- The tooth feels structurally compromised (possible crack)
- The temporary filling is repeatedly failing
- The case was complex and you were instructed to return if the seal is compromised
If your tooth is sensitive and you are planning meals, see Can You Eat After a Root Canal?
Frequently Asked Questions
How long does a temporary filling last after root canal?
It is designed for short-term sealing, typically days to a few weeks depending on chewing forces and the material. Schedule the final restoration as soon as possible.
My temporary filling came out after root canal. Is this an emergency?
It is urgent. The tooth should be resealed promptly to reduce contamination risk. If you have swelling, severe pain, or drainage, treat it as an emergency.
If you are experiencing severe pain, swelling, or drainage, treat it urgently and see Understanding Emergency Root Canal Procedures.
Can I eat with a temporary filling after root canal?
Yes, but be cautious. Avoid hard or sticky foods and try not to chew on that side.
Can I use temporary dental cement at home?
Only as a short bridge if you cannot get prompt dental care and the opening is exposed. It is not a substitute for professional resealing and final restoration.
Conclusion
A temporary filling after root canal treatment is an intentionally short-term seal. If it feels loose or if your temporary filling came out after root canal therapy, the priorities are simple: keep the area clean, avoid chewing on that tooth, and arrange prompt resealing. Patients searching “temporary filling after root canal,” “temporary filling loose after root canal,” or “temporary filling coming out after root canal” are usually dealing with a predictable, fixable issue—temporary materials can wear, and timely follow-up restores the seal. Long-term success is built on two essentials: high-quality endodontic disinfection and a reliable coronal seal. Your endodontist seals the canals, and your restoring dentist completes the final restoration. If the temporary filling fell out after root canal treatment or the tooth feels open, do not wait; resealing reduces contamination risk and protects the work already done. If pain is worsening, swelling appears, or you notice drainage, contact a dental professional promptly for evaluation and next steps.
Root Canal Treatment Guide
- What Is a Root Canal Treatment? (Start Here)
- Endodontist Treatment: What to Expect and Key Procedures
- Understanding the Process of Dental Nerve Removal
- Understanding Root Canal Anesthesia Techniques
- Can You Eat Before a Root Canal?
- Can You Eat After a Root Canal?
- Understanding Emergency Root Canal Procedures
- Temporary Filling After Root Canal: What to Do If It Comes Loose